> Welcome > Health Reporter > Body Implants - will you say "Yes" to a Microchip?
Body Implants - will you say

August 21, 2015

 

God has implanted every single person born on this planet with a mustard seed of faith! (Matthew 17:20) But what about human made body implants?You may have one - a dental crown, or maybe a hip replacement?

Amazingly, there are implants for almost any part of the body, from head to toe. A successful vision implant went on the market in 2011, enabling blind people to see hazy outlines, and in 2015 researchers are working with a bionic eye implant for humans. Researchers over the globe are printing patient-specific body implants on 3D printers, using the patient’s own stem cells with a special printing material. And researchers in the USA are working on a brain implant as thin as a human hair which can alter brain chemistry wirelessly and remotely - no medication, or dietary stimulants required!

Of course implants are not without side effects. Recall the many news articles about cosmetic breast implants leaking,  and early hip replacement parts from the 1950’s causing metal poisoning.

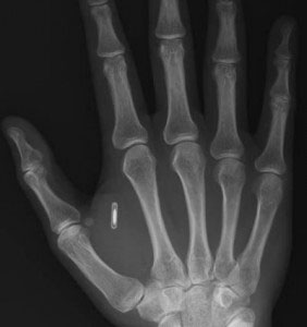
But what of future technology? Tiny computer chips, no longer than a grain of rice and slimmer than a toothpick, are routinely implanted into pets for identification. But the same sized microchip can be surgically implanted, or injected into human beings. Tott News, an Australian news website says this:

"The US firm VeriChip obtained approval to do this type of procedure more than a decade ago. The VeriChip human implant is a glass-encapsulated RFID microchip designed for implantation in the human body. The VeriChip is designed to remain permanently embedded under the skin, and consists of a RFID integrated circuit, a capacitor, and an antenna wrapped around a ferrite core. These components are sealed in a capsule of medical-grade glass. The glass capsule is partially coated in a porous polypropylene substance called Biobond in an effort to prevent the device from migrating within the body."

Anyone can buy these complete microchip implant packs online! These RFID (radio frequency identification) chips can be programmed to open electronic doors, operate coffee machines, work the office photocopier, instantly transfer information into computers.  As at August 2015, people across the globe are excited at the prospect of using technology to "biohack" their bodies with microchips or magnets, to become "better than human." I wonder what God thinks about that?

In Australia at least one quarter of people interviewed, said they would be interested in having an implanted chip for paying for purchases. More recent research shows these chips are being tested (or already in use without public knowledge) to alter behaviour and emotion. Far fetched? Maybe. But microchips implanted in people is already decades old. Consider that prisoners in Sweden have been implanted with microchips since 1973 and Swedish nursing home residents since the mid-1980’s.2   What comes next?

You see, in our world today, the far fetched soon becomes reality. Consider that just 20 years ago mobile telephones were as big as a brick and used solely for making telephone calls. Today a mobile telephone is smaller than a hand span and is a multi use computer. Researchers say people will be ready for the leap to an implanted "all in one" chip which can be used like a computer but controlled by thought alone.

Each tiny chip can be encoded with information, and radio frequencies can be manipulated to change emotions and behaviours. Just imagine for a moment that you have offered a microchip. The possibilities of being safer, and not having to carry a wallet or debit/credit card seem quite enticing. Depending on who is offering you this chip implant may depend on the information stored in your chip. Your health records, your banking records and bank account numbers, your address, occupation, passport information. What is the dark side? If access to your data is possible, then it stands to reason that your privacy has just been eliminated. As Dr Luukanen-Kilde reported in SPEKULA magazine in the year 2000:

"The mass media has not reported that an implanted person’s privacy vanishes for the rest of his or her life.  S/he can be manipulated in many ways.  Using different frequencies, the secret controller of this equipment can even change a person’s emotional life.  S/he can be made aggressive or lethargic.  Sexuality can be artificially influenced.  Thought signals and subconscious thinking can be read, dreams affected and even induced, all without the knowledge or consent of the implanted person."

Thus, if our governments or banks or employers offer individuals some version of "technological advancement" for our "own good" - should we accept without question? Or should we take the Bible’s advice:

"Watch therefore, and pray always that you may be counted worthy to escape all these things that will come to pass, and to stand before the Son of Man." Luke 21:36

References:

Bavas, Josh. "Queensland Researchers Print Three-Dimensional Body Parts for Implant, Clinical Trials Could Begin in 2015." News. ABC News, September 5, 2014. http://www.abc.net.au/news/2014-05-09/researchers-develop-three-dimensional-body-parts-for-implant/5443018.
"Chapter 1 - Restoring Vision to the Blind: The New Age of Implanted Visual Prostheses." Translational Visionl Science and Technology December 2014, no. 3(7)3 (December 2014). doi:10.1167/tvst.3.7.3.
"Dangerous Products - Biohacking." Shopping. Dangerous Things - Custom Gadgetry for the Discerning Hacker. Accessed August 21, 2015. https://dangerousthings.com/gear/.
Hesse, Josiah M. "There Is Now a Brain Implant That Can Control Emotions Wirelessly." Informational. VICE, August 16, 2015. https://www.vice.com/read/there-is-now-a-brain-implant-that-can-control-emotions-wirelessly-253.
"Hip Replacements Metal Poisoning & Metallosis." Informational. Drug Watch, n.d.
Luukanen-Kilde, MD, Rauni-Leena. "Microchip Implants, Mind Control,  and Cybernetics." SPEKULA 3rd Quarter, no. 1999 (June 12, 2000). http://lets-watch.com/itemsofinterestpone.html.
"Mark of the Beast: Australian Implants to Aid Payments with a Wave of the Hand?" News. TOTT NEWS - Australian Front Lines, May 26, 2015. http://tottnews.com/2015/05/26/mark-of-the-beast-australian-implants-to-aid-payments-with-a-wave-of-the-hand/.
Quinn, Zoe. "They Told Me I Could Be Anything When I Grew Up, So I Became A Cyborg." News. VICE, December 6, 2015. http://www.vice.com/en_uk/read/they-told-me-i-could-be-anything-when-i-grew-up-so-i-became-a-cyborg-610.

Posted: Sat 22 Aug 2015

Back